honeypot link
skip to main content
專業的
消费者
默沙东 诊疗手册
医学专业人士版
医学主题
资源
测验
关于
医学主题
资源
<
图片
过敏性肺炎
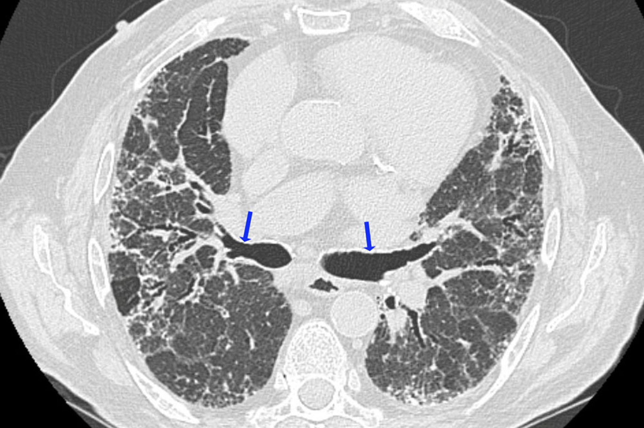
高分辨率CT显示纤维化的表现,包括不规则网状影和牵引性支气管扩张(箭头所示)。肺密度降低的区域与气道阻塞的区域一致。这些表现的组合提示过敏性肺炎。
图像由医学博士、MAS Joyce Lee 提供。
在这些主题中
过敏性肺炎
>