honeypot link
skip to main content
專業的
消费者
默沙东 诊疗手册
医学专业人士版
医学主题
资源
测验
关于
医学主题
资源
专业版
/
图片
/
骨巨细胞瘤
/
骨巨细胞瘤
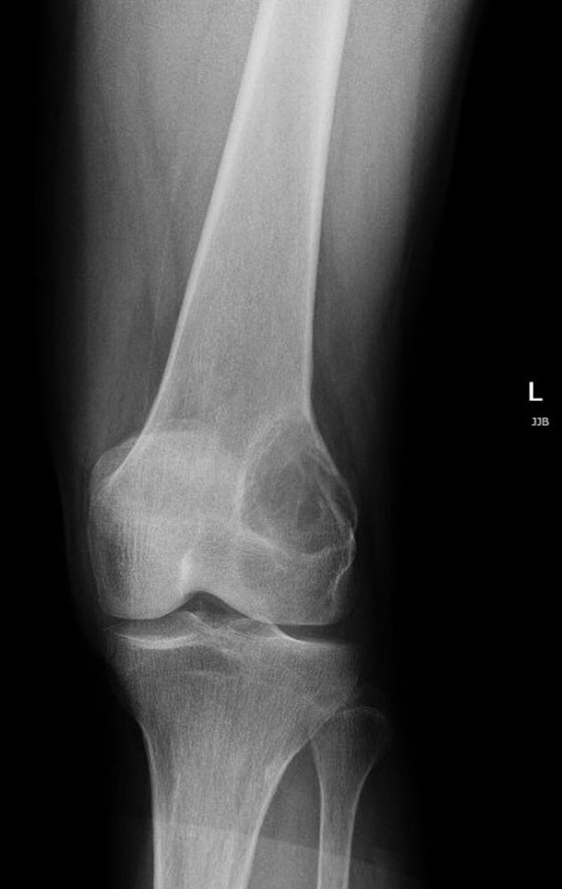
膝关节的X光片显示膝盖上方股骨远端外侧有一处透亮病变,这是骨巨细胞瘤的典型特征。
Image courtesy of Lukas Nystrom, MD.
在这些主题中
良性骨肿瘤与囊肿
>