honeypot link
skip to main content
專業的
消费者
默沙东 诊疗手册
医学专业人士版
医学主题
资源
测验
关于
医学主题
资源
专业版
/
图片
/
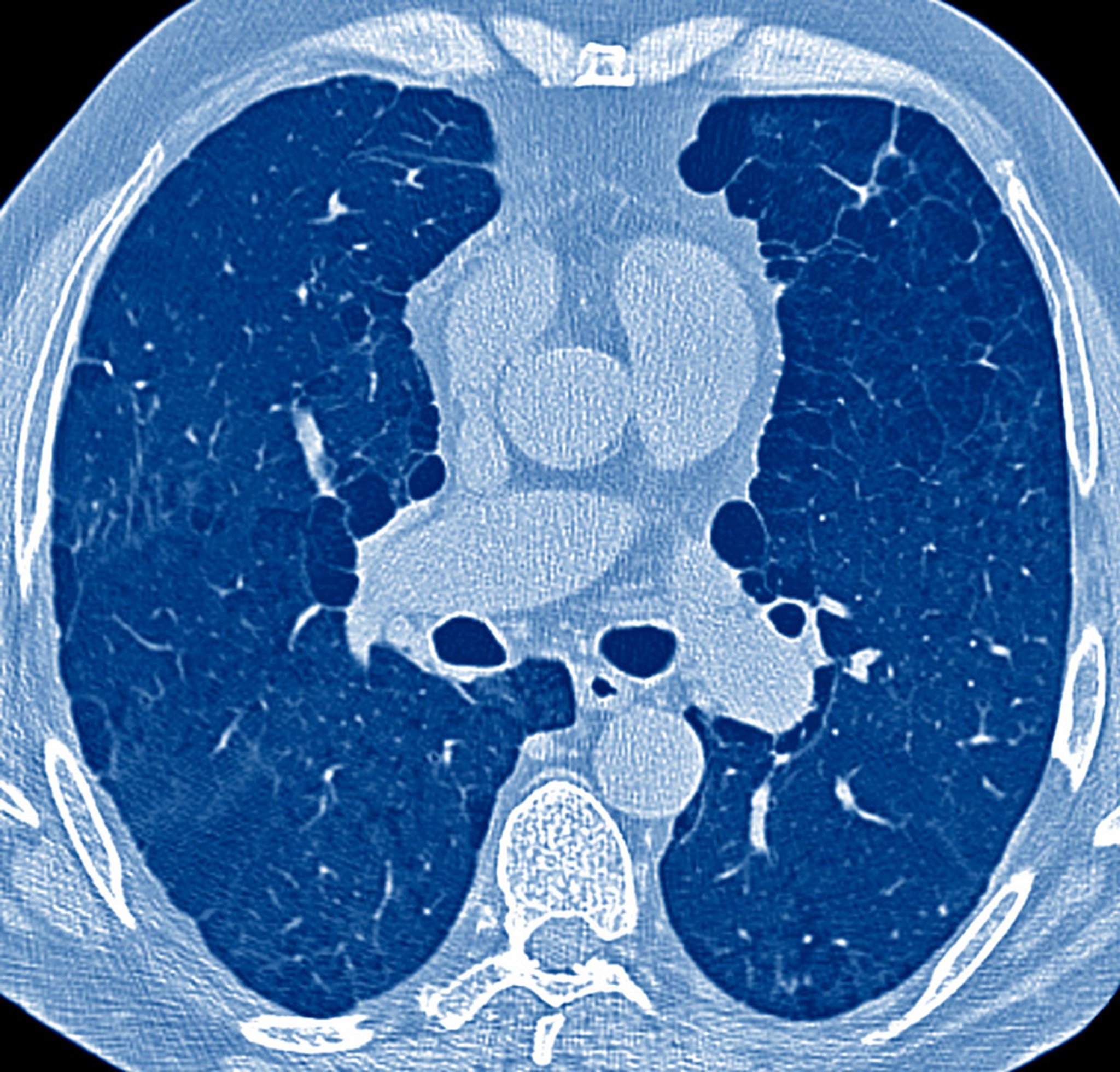
肺气肿患者前后径增大
/
肺气肿患者前后径增大
这张CT图像显示吸烟患者肺气肿改变,前后径显著增大。体格检查时会发现桶状胸。
PNMB/SCIENCE PHOTO LIBRARY
在这些主题中
肺部疾病患者的评估
>