honeypot link
skip to main content
專業的
消费者
默沙东 诊疗手册
医学专业人士版
医学主题
资源
测验
关于
医学主题
资源
专业版
/
图片
/
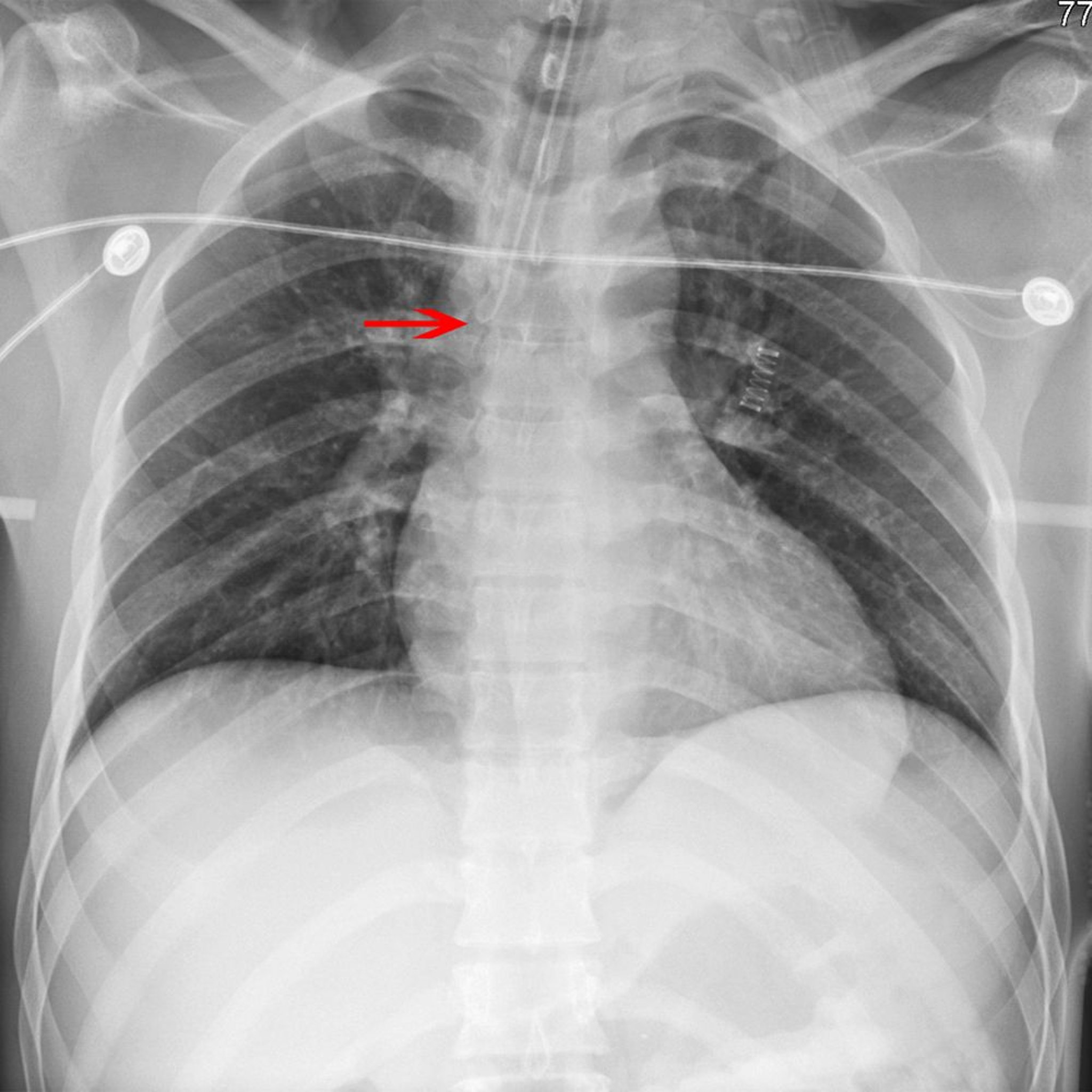
X线显示错误放置的气管内插管
/
X线显示错误放置的气管内插管
箭头指向未正确放置在右主支气管的气管导管尖端。
© 2017 Elliot K.Fishman, MD.
在这些主题中
住院患者缺氧
>