异常和正常肠道(显微镜下)
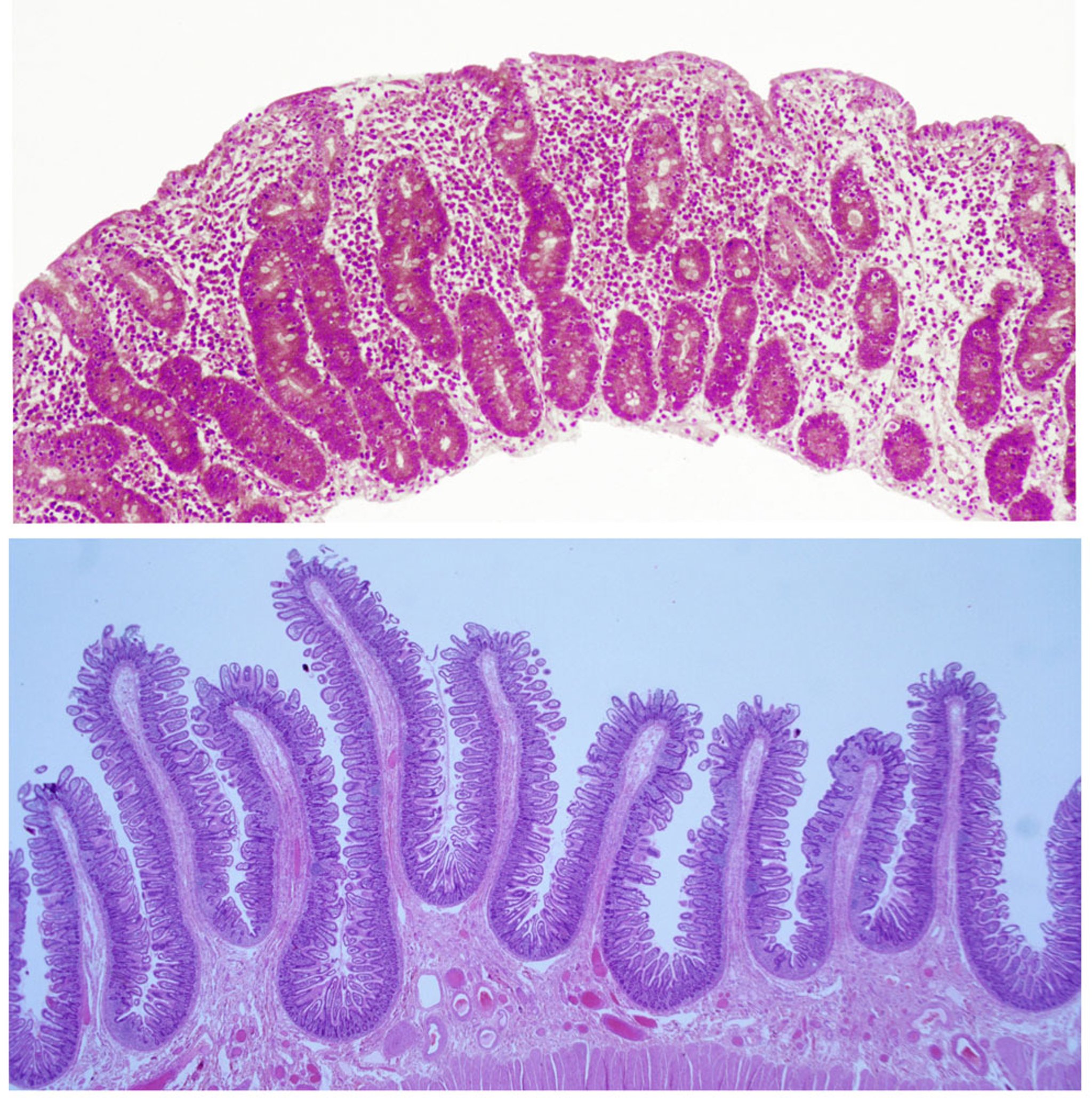
上图:此光镜照片显示了一名乳糜泻患者的空肠切片。观察到的主要表现包括绒毛变钝和扁平、上皮内淋巴细胞增多以及隐窝增生。下图:光镜显示非乳糜泻患者的空肠壁切片。
顶部图片:BIOPHOTO ASSOCIATES/SCIENCE PHOTO LIBRARY
底部图片:INNERSPACE IMAGING/SCIENCE PHOTO LIBRARY
在这些主题中
上图:此光镜照片显示了一名乳糜泻患者的空肠切片。观察到的主要表现包括绒毛变钝和扁平、上皮内淋巴细胞增多以及隐窝增生。下图:光镜显示非乳糜泻患者的空肠壁切片。
顶部图片:BIOPHOTO ASSOCIATES/SCIENCE PHOTO LIBRARY
底部图片:INNERSPACE IMAGING/SCIENCE PHOTO LIBRARY