honeypot link
skip to main content
專業的
消费者
默沙东 诊疗手册
医学专业人士版
医学主题
资源
测验
关于
医学主题
资源
<
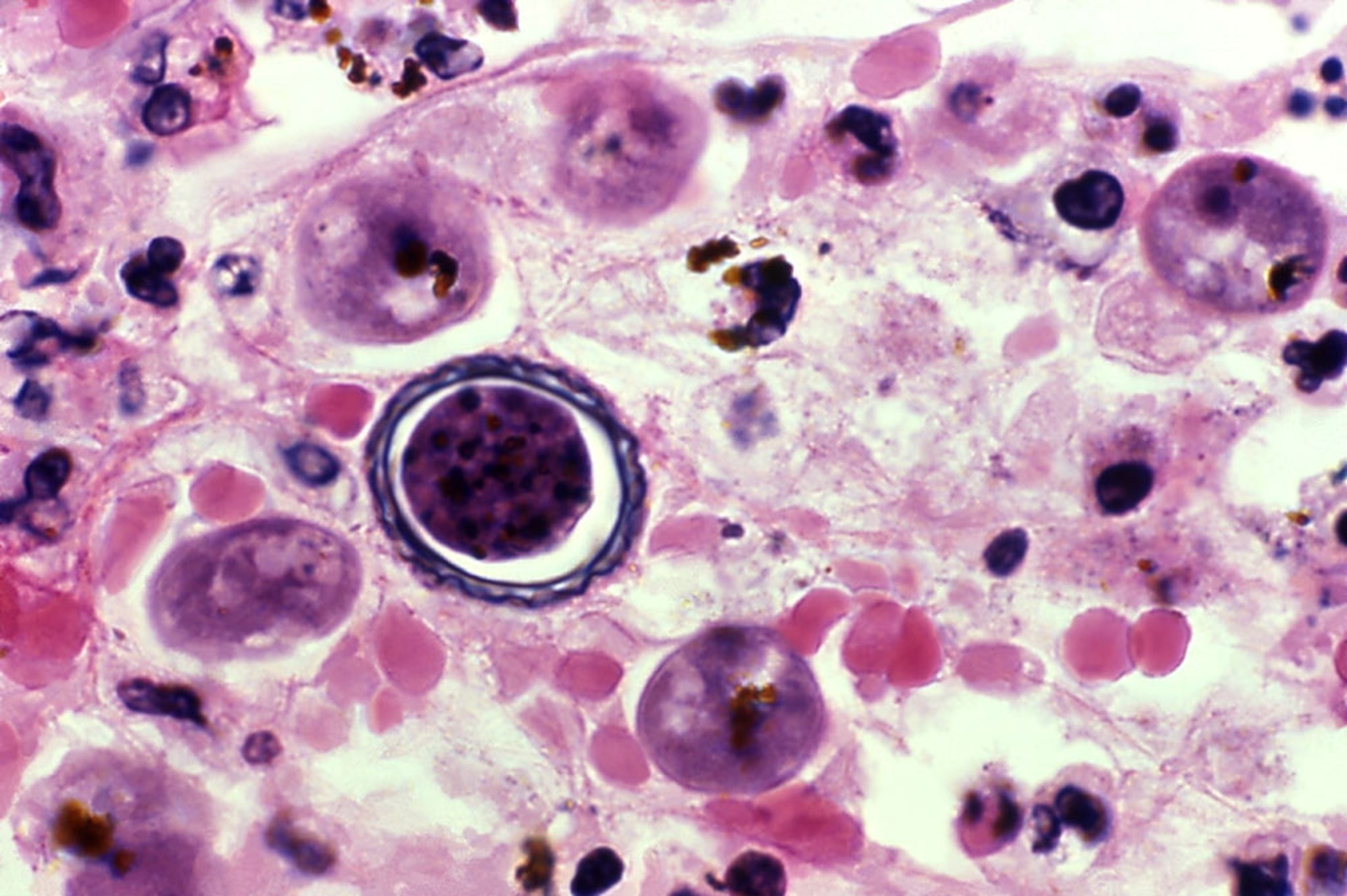
图片
棘阿米巴
脑组织中的囊肿
这张图片显示了用苏木精和伊红染色的脑组织样本中的一个
棘阿米巴
囊体。
CDC/ DPDx; George Healy, Ph.D.
在这些主题中
肉芽肿性阿米巴脑炎
>