支气管肺发育不良(X 射线和 CT 结果)
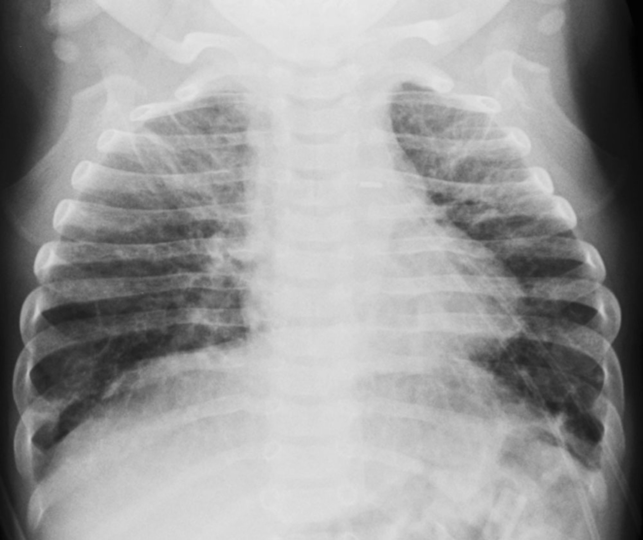
这些图像中的婴儿有早产史和支气管肺发育不良病史。左侧的正面胸部 X 光片显示双肺有粗大的网状肺阴影和过度充气。右侧的 CT 图像显示由潜在的肺泡间隔纤维化和过度膨胀的肺实质引起的粗糙网状肺混浊和肺通气紊乱。
© Springer Science+Business Media
在这些主题中
这些图像中的婴儿有早产史和支气管肺发育不良病史。左侧的正面胸部 X 光片显示双肺有粗大的网状肺阴影和过度充气。右侧的 CT 图像显示由潜在的肺泡间隔纤维化和过度膨胀的肺实质引起的粗糙网状肺混浊和肺通气紊乱。
© Springer Science+Business Media