honeypot link
skip to main content
專業的
消费者
默沙东 诊疗手册
医学专业人士版
医学主题
资源
测验
关于
医学主题
资源
<
图片
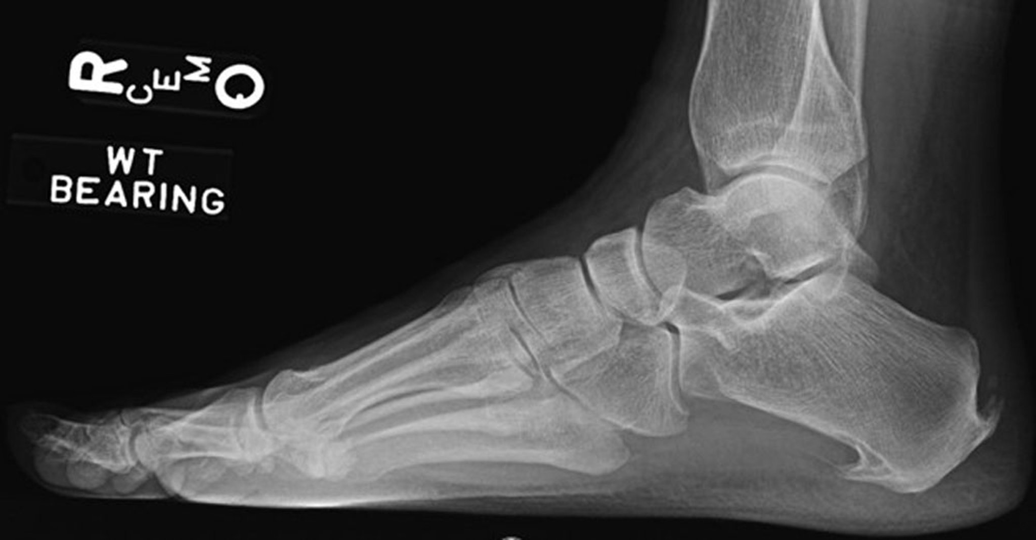
联合性足底与跟骨骨刺
侧位X线片显示跟腱附着处有联合足底和后跟骨骨刺。
Image courtesy of James C.Connors, DPM.
在这些主题中
足底筋膜炎
>