honeypot link
skip to main content
專業的
消费者
默沙东 诊疗手册
医学专业人士版
医学主题
资源
测验
关于
医学主题
资源
<
图片
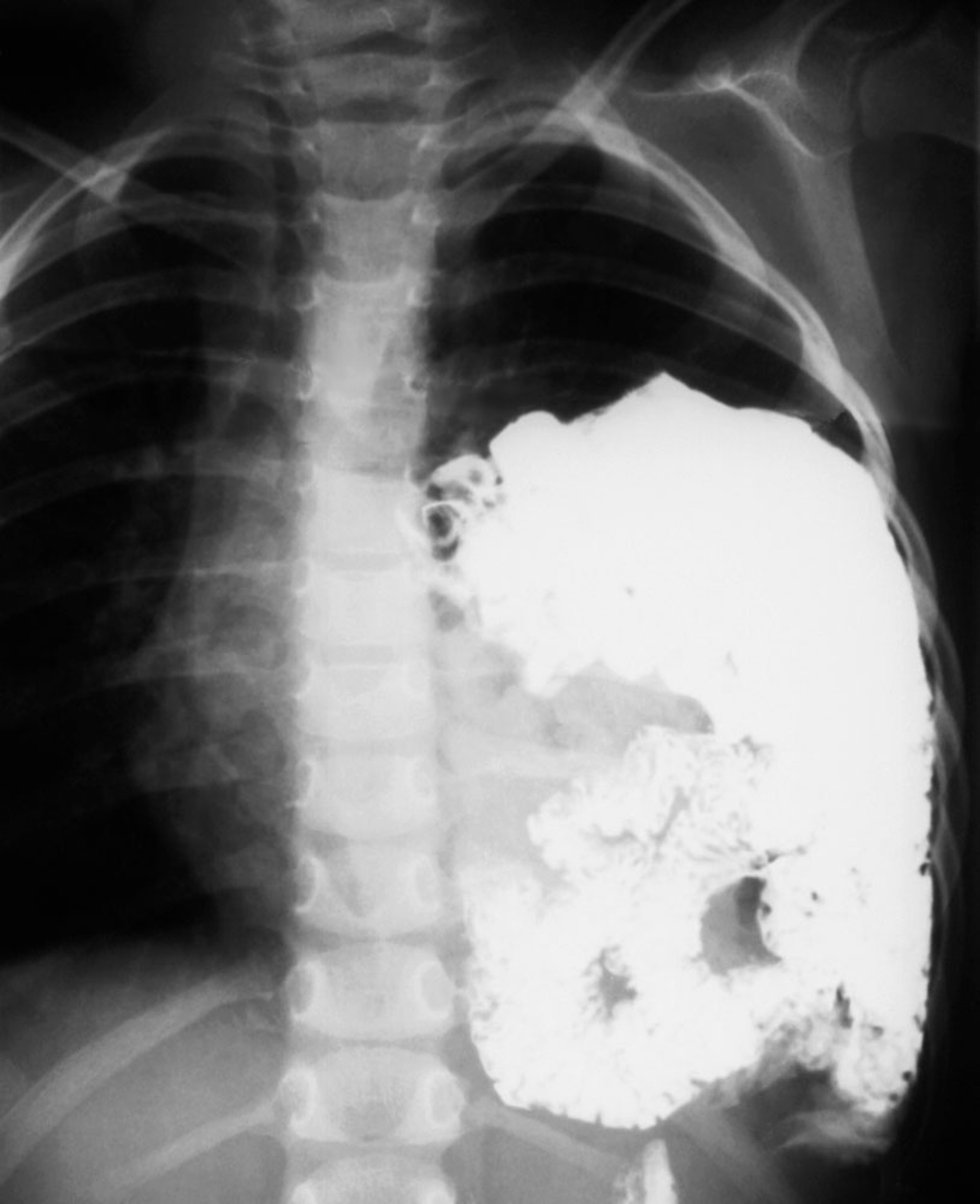
膈疝 (2)
在这项对比研究中,胃和肠道可见于左胸。
ZEPHYR/SCIENCE PHOTO LIBRARY
在这些主题中
膈疝
>