honeypot link
skip to main content
專業的
消费者
默沙东 诊疗手册
医学专业人士版
医学主题
资源
测验
关于
医学主题
资源
<
图片
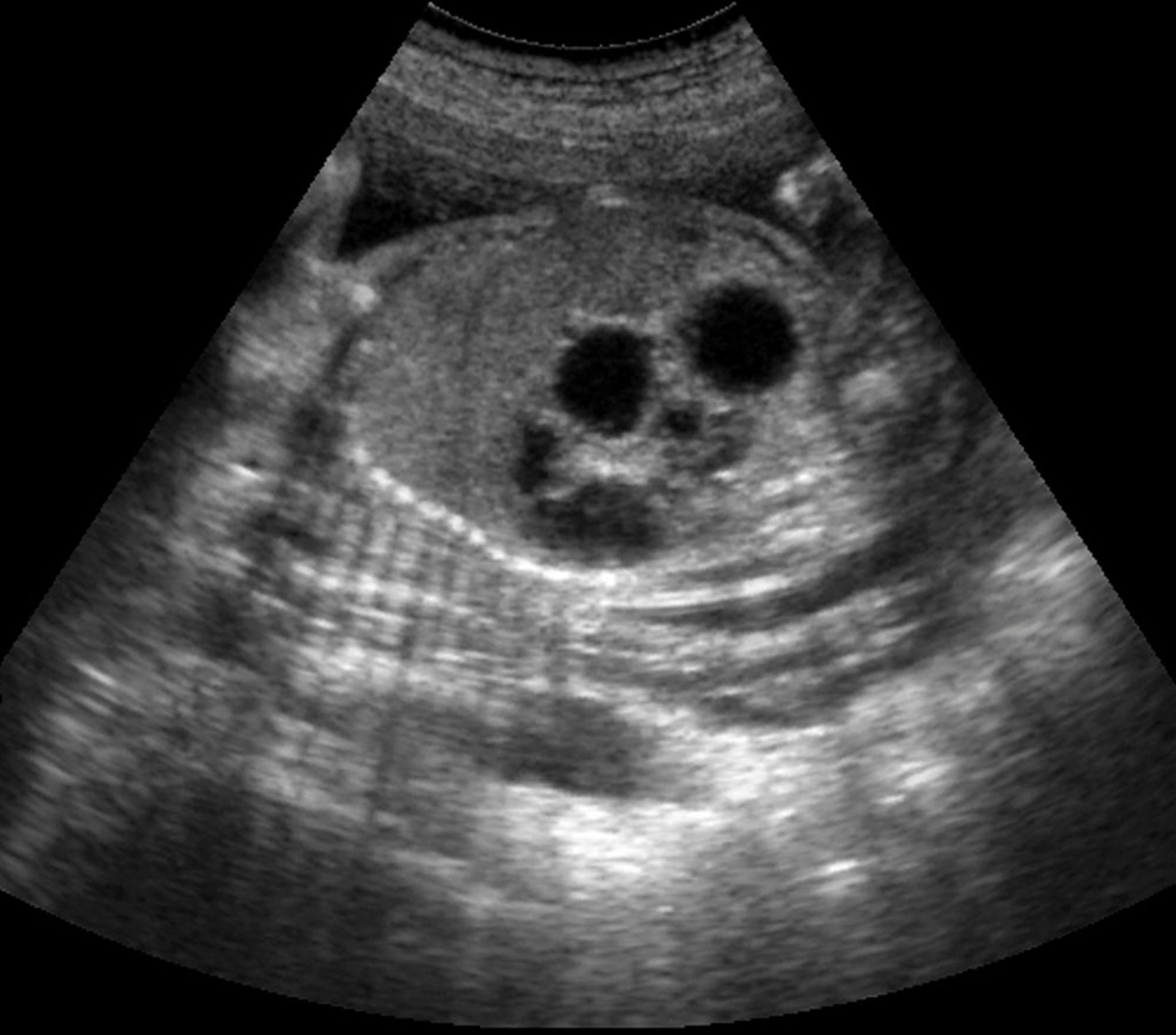
双重气泡效应(超声)
该超声显示胎儿十二指肠闭锁的双泡征。
DR NAJEEB LAYYOUS/SCIENCE PHOTO LIBRARY
在这些主题中
十二指肠梗阻
>