honeypot link
skip to main content
專業的
消费者
默沙东 诊疗手册
医学专业人士版
医学主题
资源
测验
关于
医学主题
资源
<
图片
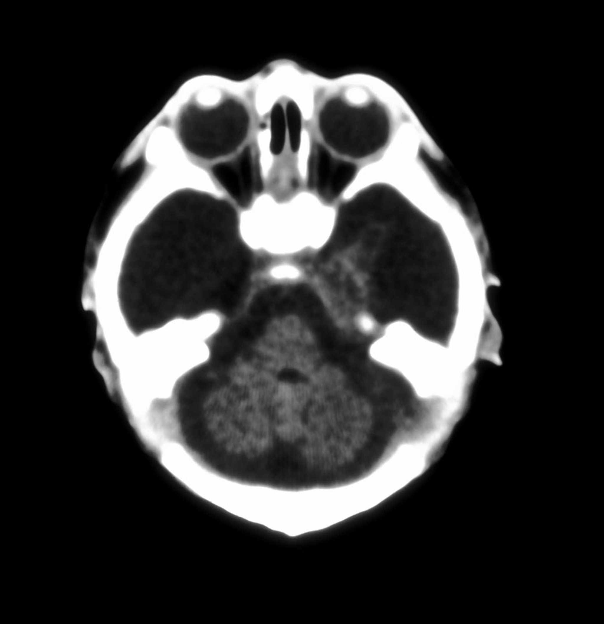
积水性无脑畸形
这张新生儿脑部的轴向CT图像显示大脑半球几乎完全缺失。
LIVING ART ENTERPRISES, LLC/SCIENCE PHOTO LIBRARY
在这些主题中
孔洞脑
>