肾小球(光镜图)

肾小球(光镜图)

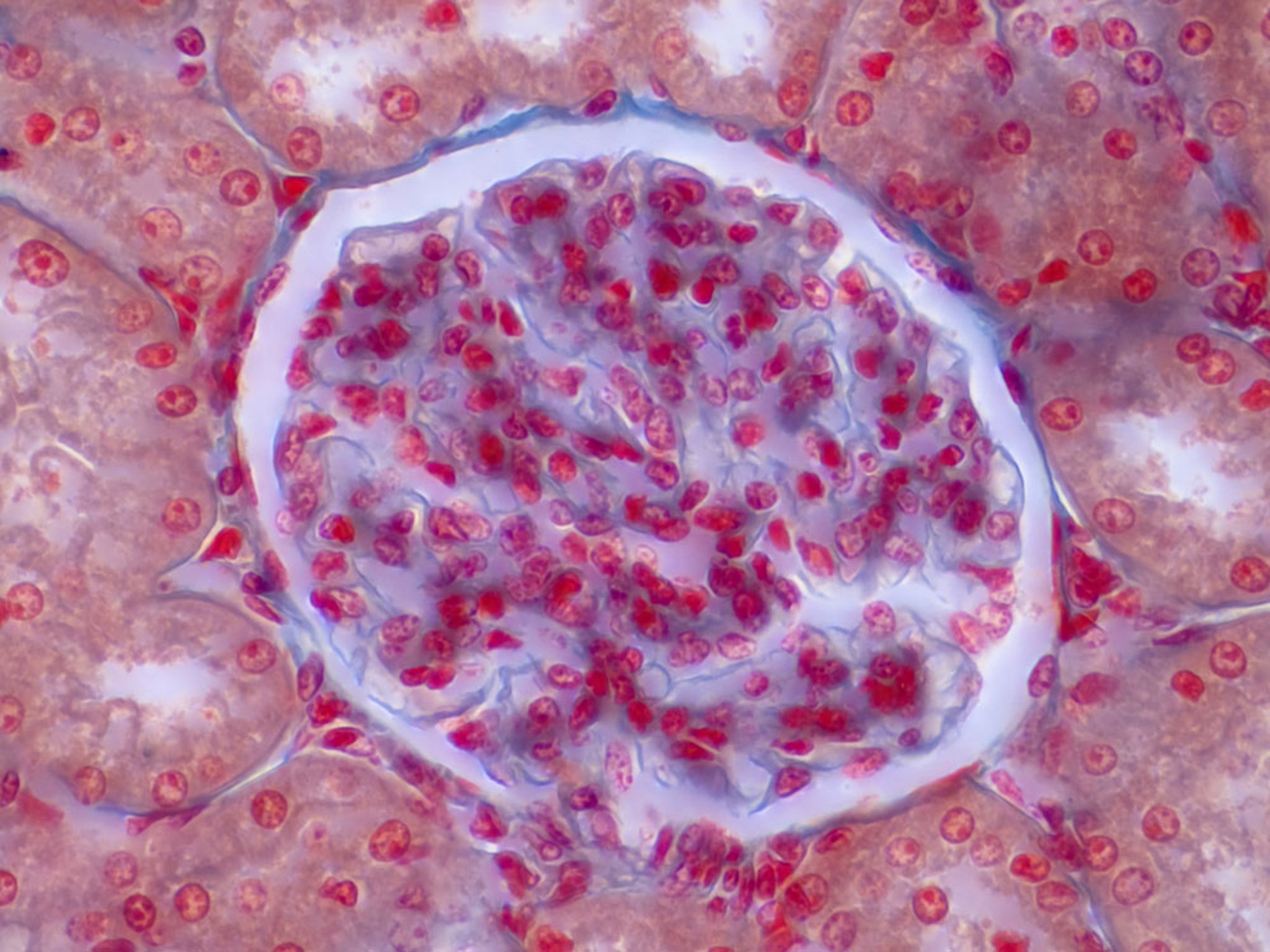
本图显示肾小体横切面。肾小球含毛细血管网,包含显微镜照片下可见的红细胞。覆盖毛细血管的有孔足细胞在此不可见。 肾小球被鲍曼囊腔包围。

CHOKSAWATDIKORN / SCIENCE PHOTO LIBRARY

在这些主题中