麻疹中的科氏斑(2)

麻疹中的科氏斑(2)

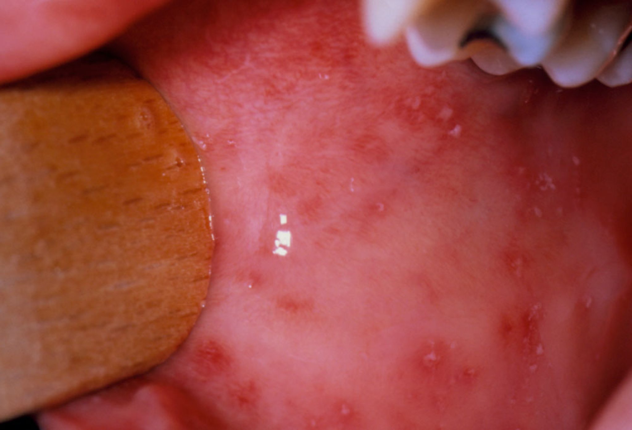
Koplik斑典型描述为亮红色斑点,中心为白色或蓝白色,类似沙粒。它们可能发生在口腔中的任何位置,通常在泛发性皮疹之前出现,是麻疹(rubeola)的病征。

DR P.MARAZZI/SCIENCE PHOTO LIBRARY

在这些主题中