honeypot link
skip to main content
專業的
消费者
默沙东 诊疗手册
医学专业人士版
医学主题
资源
测验
关于
医学主题
资源
<
图片
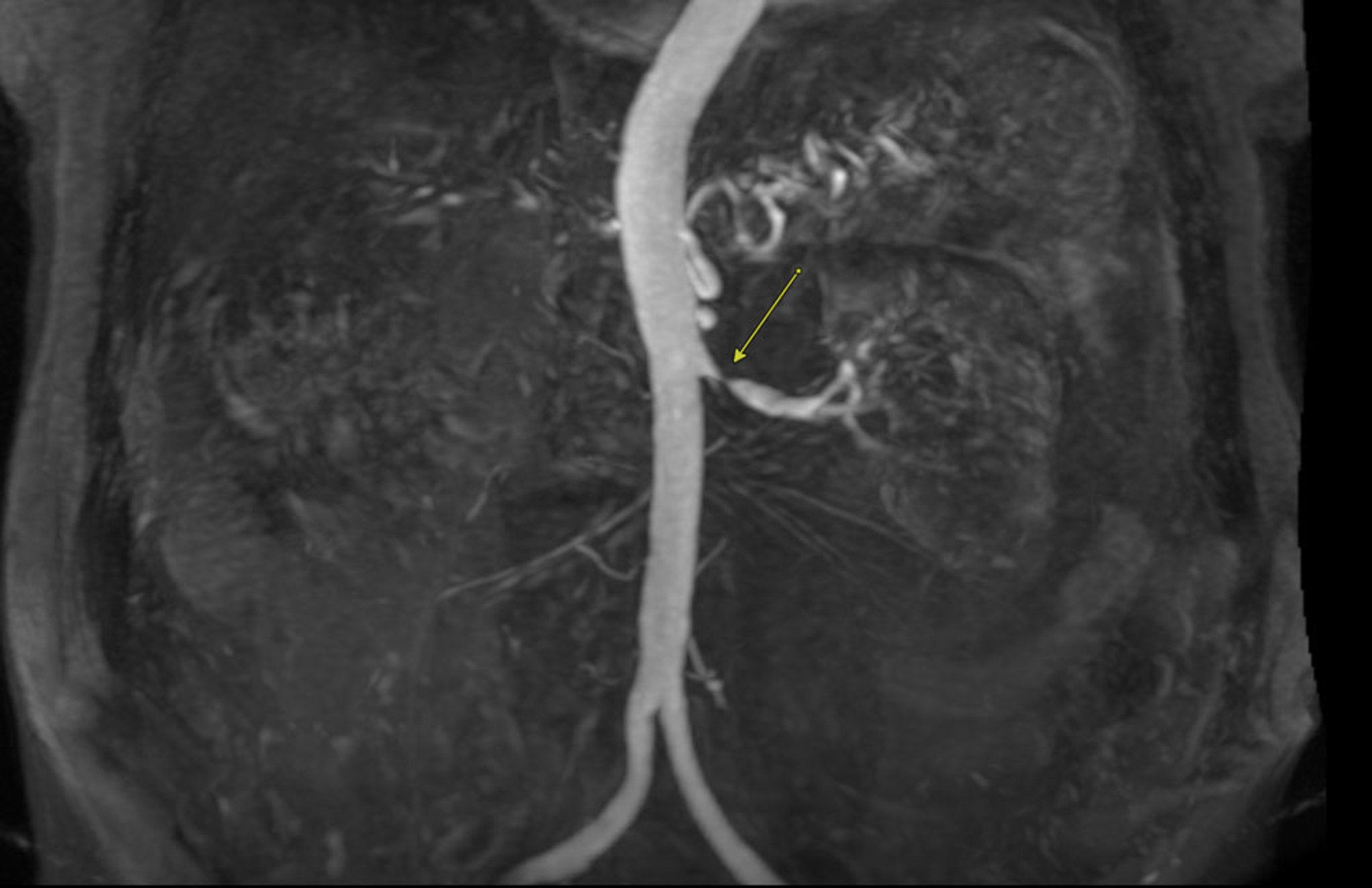
含钆基对比剂的磁共振血管成像(MRA)
此增强磁共振血管成像显示严重的肾动脉狭窄(箭头所示)。
Image courtesy of Attila Feher, MD, PhD.
在这些主题中
动脉粥样硬化
>