人类肝微结节性肝硬化(光镜图像)

人类肝微结节性肝硬化(光镜图像)

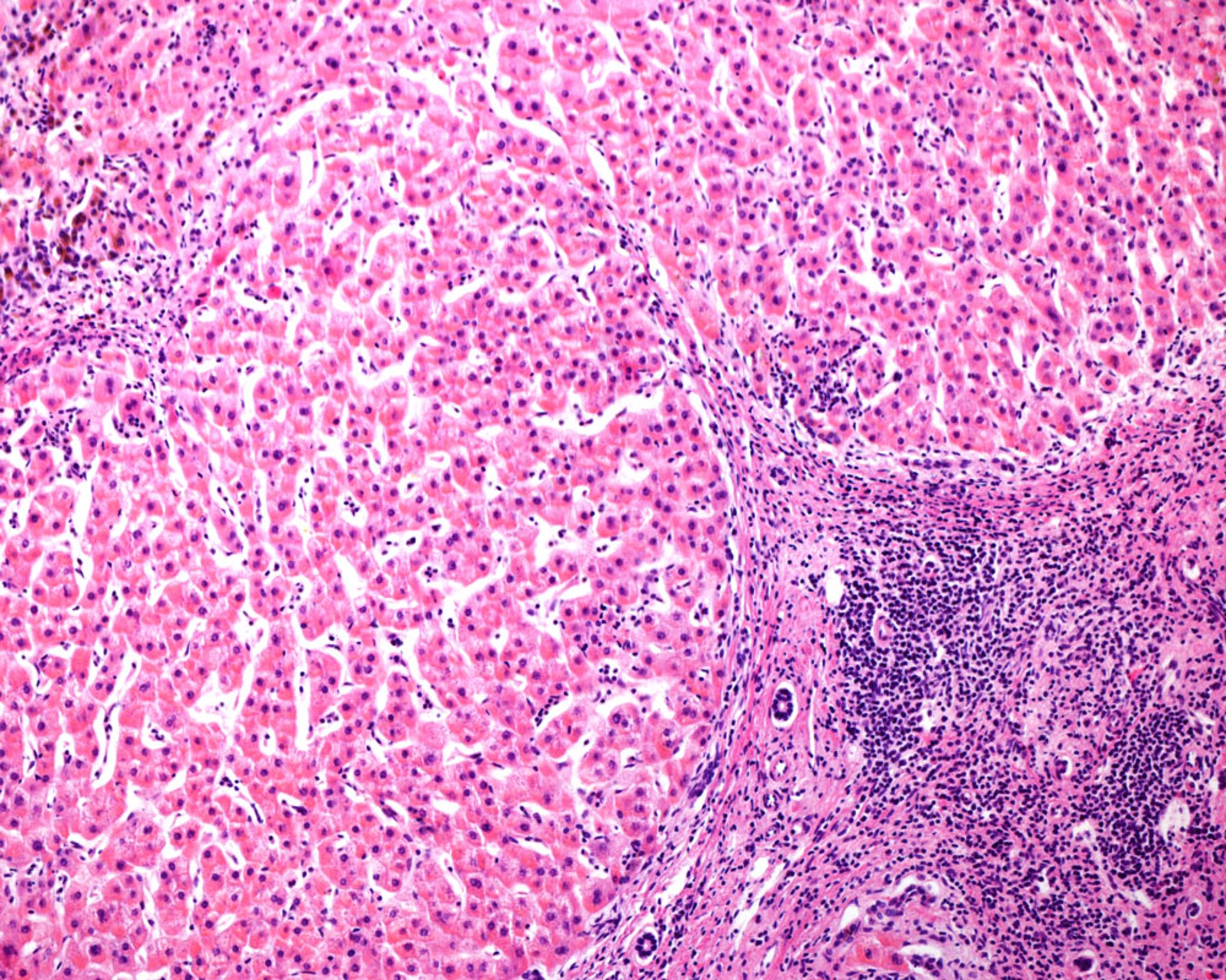
人类肝脏微结节性肝硬化的光镜图像,这是酒精性肝炎的常见后果。再生结节被含慢性炎性浸润的结缔组织间隔分隔开。注意结节中央静脉缺失且间隔内门管三联结构缺如。

JOSE CALVO / SCIENCE PHOTO LIBRARY

在这些主题中