honeypot link
skip to main content
專業的
消费者
默沙东 诊疗手册
医学专业人士版
医学主题
资源
测验
关于
医学主题
资源
<
图片
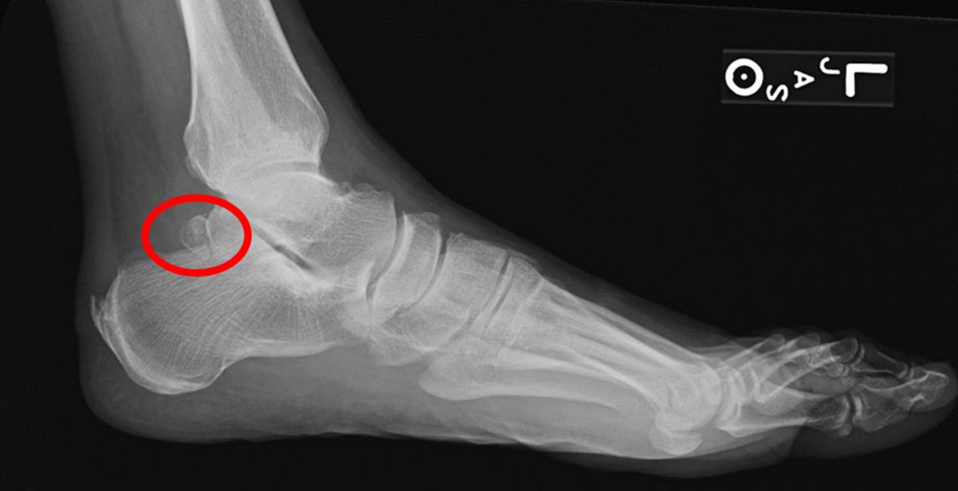
三角骨
此侧位X线片显示距骨三角骨(圆圈所示)。
Image courtesy of James C.Connors, DPM.
在这些主题中
跟腱前滑囊炎
>