honeypot link
skip to main content
專業的
消费者
默沙东 诊疗手册
医学专业人士版
医学主题
资源
测验
关于
医学主题
资源
专业版
/
图片
/
胸膜增厚
/
胸膜增厚
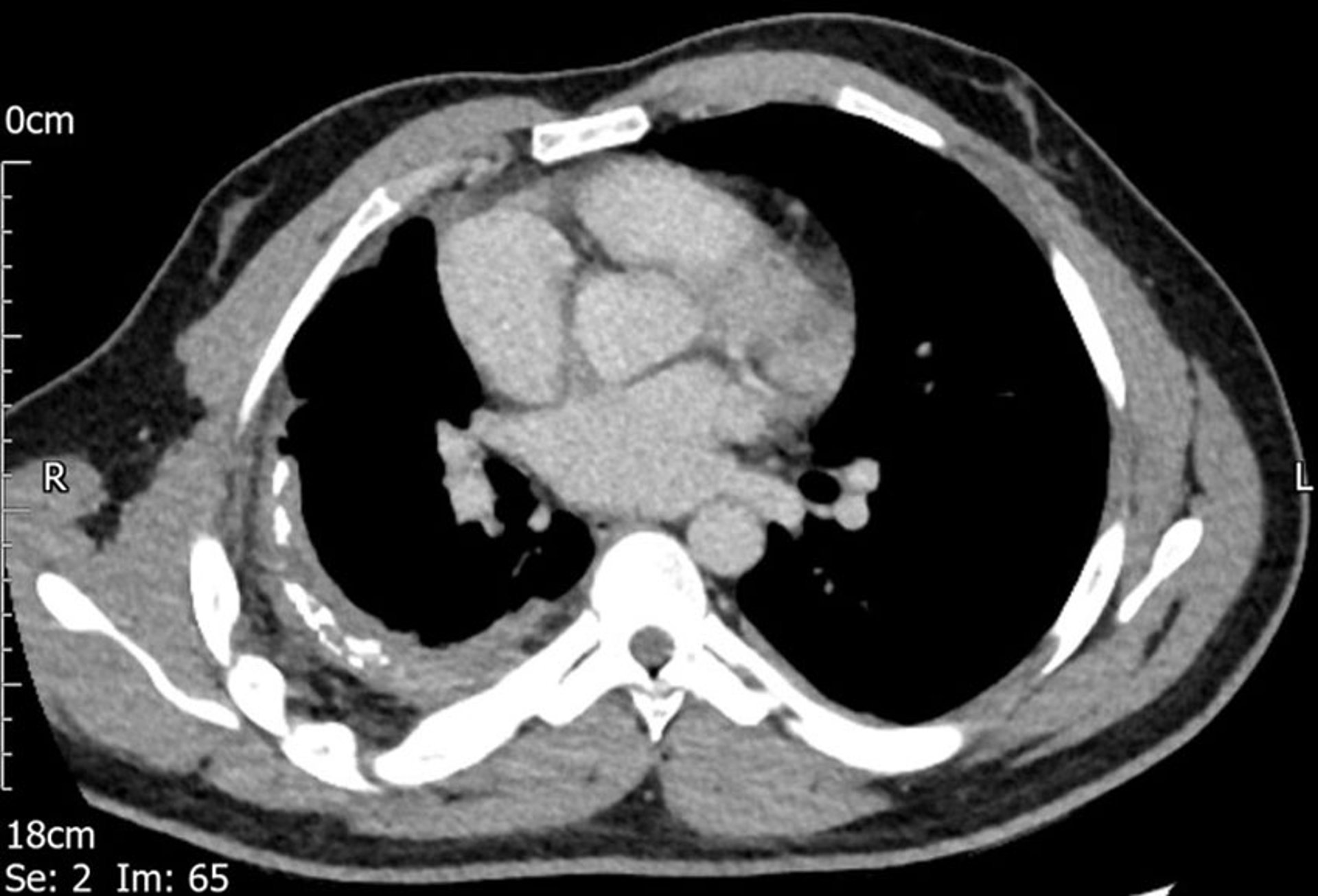
CT扫描显示右侧胸膜增厚。
Image courtesy of Najib M.Rahman, BMBCh MA (oxon) DPhil.
在这些主题中
胸膜纤维化和钙化
>