胸膜纤维化和钙化(pleural fibrosis and calcification)常是胸膜炎症或石棉暴露后的良性后遗症。
胸膜纤维化和钙化可能是其中之一:
炎症后
主要通过影像学检查来发现和确诊该类疾病。通常不需要治疗纤维化和钙化本身。极少数情况下,对于体积巨大且有症状的纤维化区域,需要进行手术切除。
炎症后
胸膜炎症常引起纤维化,从而引起急性胸膜增厚。胸膜炎症常见原因包括未治疗的感染、药物不良反应(如美西麦角)、自身免疫性疾病(如类风湿性胸膜炎或IgG4相关疾病)及接触石棉(良性石棉性胸膜疾病)。在某些情况下,胸膜增厚和纤维化会显著消退,特别是在基础疾病得到治疗时(例如胸膜感染时进行充分引流并使用抗生素治疗)。有些病例遗留轻度胸膜增厚,常无症状也不损害肺功能。在其他情况下,可能出现长期、渐进性且症状日益加重的胸膜纤维化和增厚。有时,肺部会被厚而纤维化的胸膜外壳包裹,限制其扩张(形成“陷闭肺”),将纵隔拉向病变一侧,并损害肺功能。
胸部X线示双肺不对称伴胸膜增厚(陷闭肺)。以胸片区分局部胸膜增厚和包裹性胸腔积液较困难,但CT扫描易于鉴别。
胸壁和横膈膜上有钙化的胸膜斑块。
图像由David W.提供。Cugell, MD.
炎症后胸膜纤维化偶可形成钙化。钙化可在X线上形成致密影,并且几乎都累及脏层胸膜。炎症后钙化总为单侧性。
石棉相关
石棉暴露可引起局灶的斑块状胸膜纤维化,有时也可形成钙化,最长可于初次接触石棉≥20年后发生。
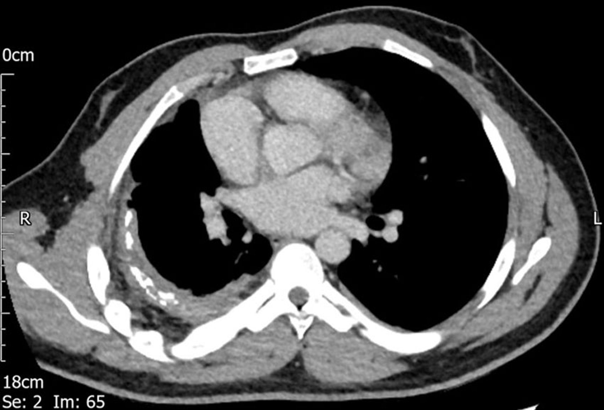
CT扫描显示右侧胸膜增厚。
图像由Najib M.提供。Rahman, BMBCh MA (oxon) DPhil.
通常通过胸片进行诊断。斑块的直径可以从几毫米到10cm不等。胸膜和心包的表面都可以受累,但石棉相关的胸膜斑常见于胸腔下2/3,且为双侧性。钙化最常累及壁层和横膈胸膜,而肋膈沟和肋膈角不累及。钙化可能是石棉暴露的唯一证据。整个肺周厚度>1cm的高密度胸膜纤维化也可发生于石棉暴露后。



