honeypot link
skip to main content
專業的
消费者
默沙东 诊疗手册
医学专业人士版
医学主题
资源
测验
关于
医学主题
资源
专业版
/
图片
/
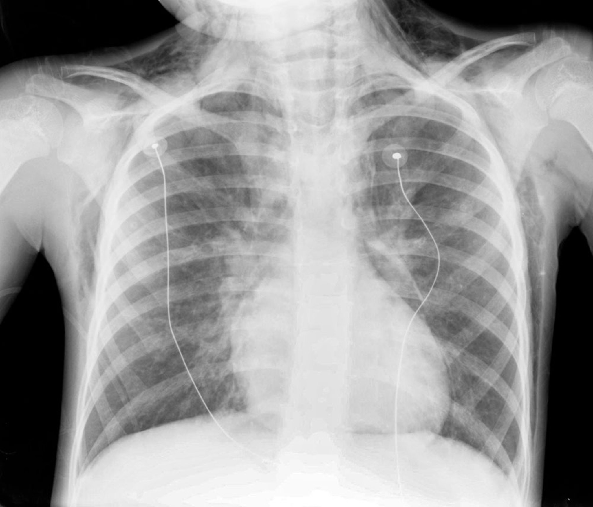
纵隔气肿(X 光检查)
/
纵隔气肿(X 光检查)
这张 X 光片显示一名儿童患有纵隔气肿。注意心脏边缘、气管周围及颈部存在气体影。
PROF.ANDRE LABBE/SCIENCE PHOTO LIBRARY
在这些主题中
纵隔气肿
>