气胸

气胸

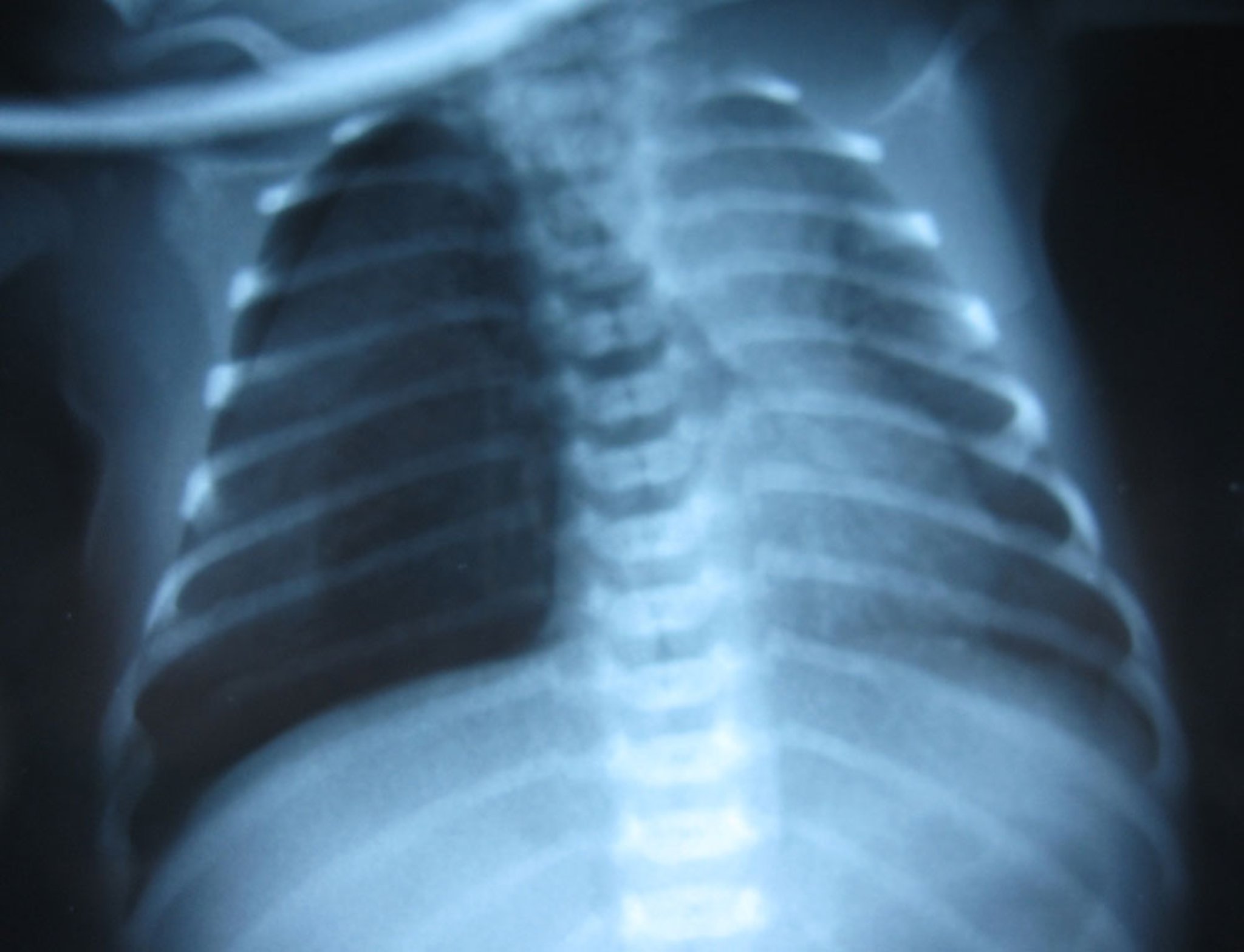
新生儿右侧张力性气胸,可见肺边缘,右侧肺血管标记极少。张力性气胸是一种临床诊断,而不是影像学诊断,但在本图中,纵隔明显向左移位高度提示张力性气胸。

Image courtesy of Arcangela Balest, MD.

在这些主题中