honeypot link
skip to main content
專業的
消费者
默沙东 诊疗手册
医学专业人士版
医学主题
资源
测验
关于
医学主题
资源
专业版
/
图片
/
气胸(CT扫描)
/
气胸(CT扫描)
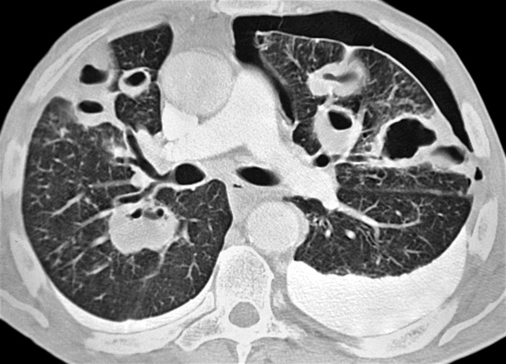
该轴位CT显示细菌性肺炎患者存在左侧气胸。可见多发脓肿及双侧胸腔积液(左侧更明显)。
PNMB/SCIENCE PHOTO LIBRARY
在这些主题中
气胸
>