honeypot link
skip to main content
專業的
消费者
默沙东 诊疗手册
医学专业人士版
医学主题
资源
测验
关于
医学主题
资源
专业版
/
图片
/
胸部 X 光检查
/
胸部 X 光检查
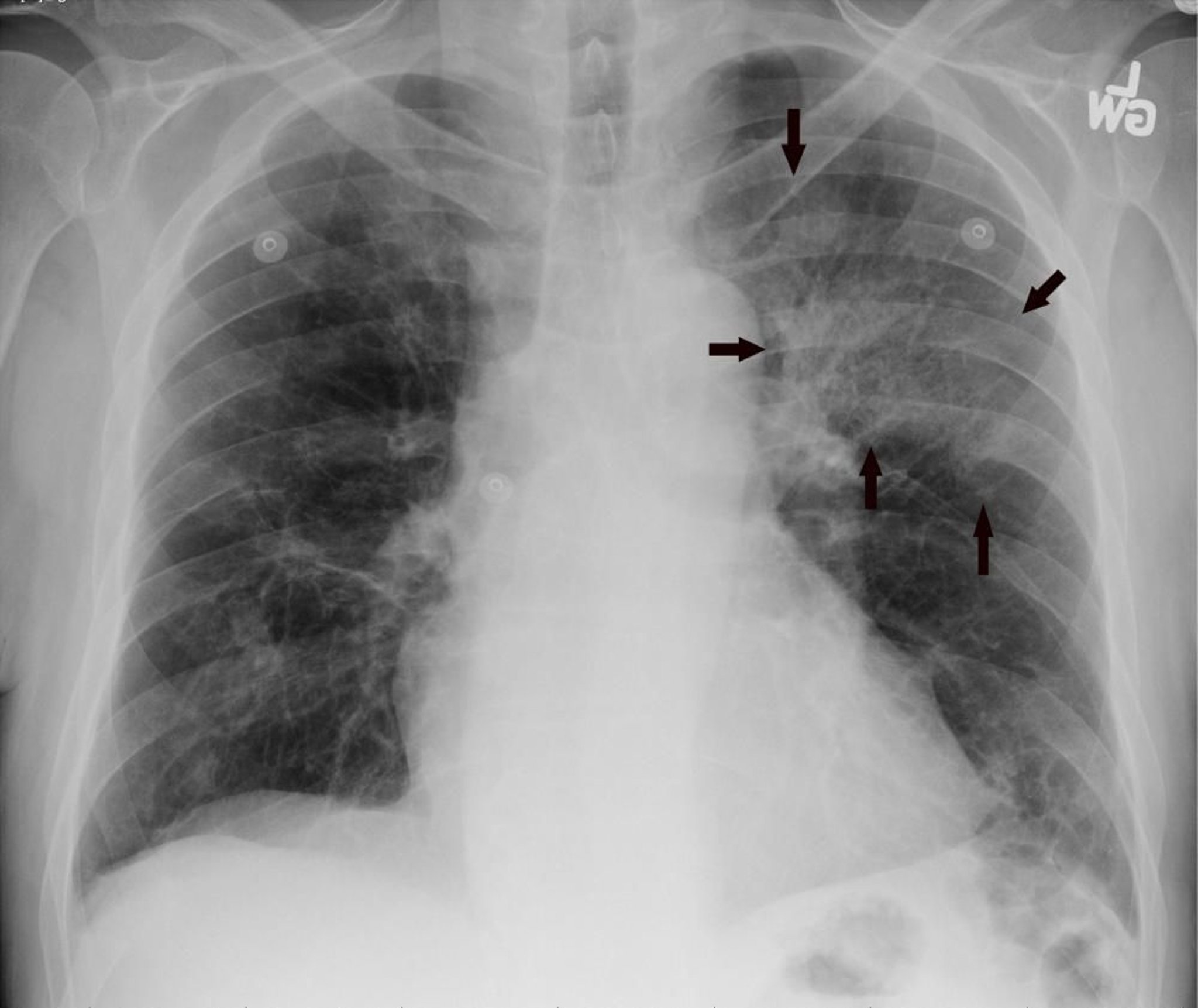
胸部后前位 X 线显示与肺炎一致的左上叶浸润(箭头)。
Image courtesy of Hakan Ilaslan, MD.
在这些主题中
常规X线摄影
>