honeypot link
skip to main content
專業的
消费者
默沙东 诊疗手册
医学专业人士版
医学主题
资源
测验
关于
医学主题
资源
专业版
/
图片
/
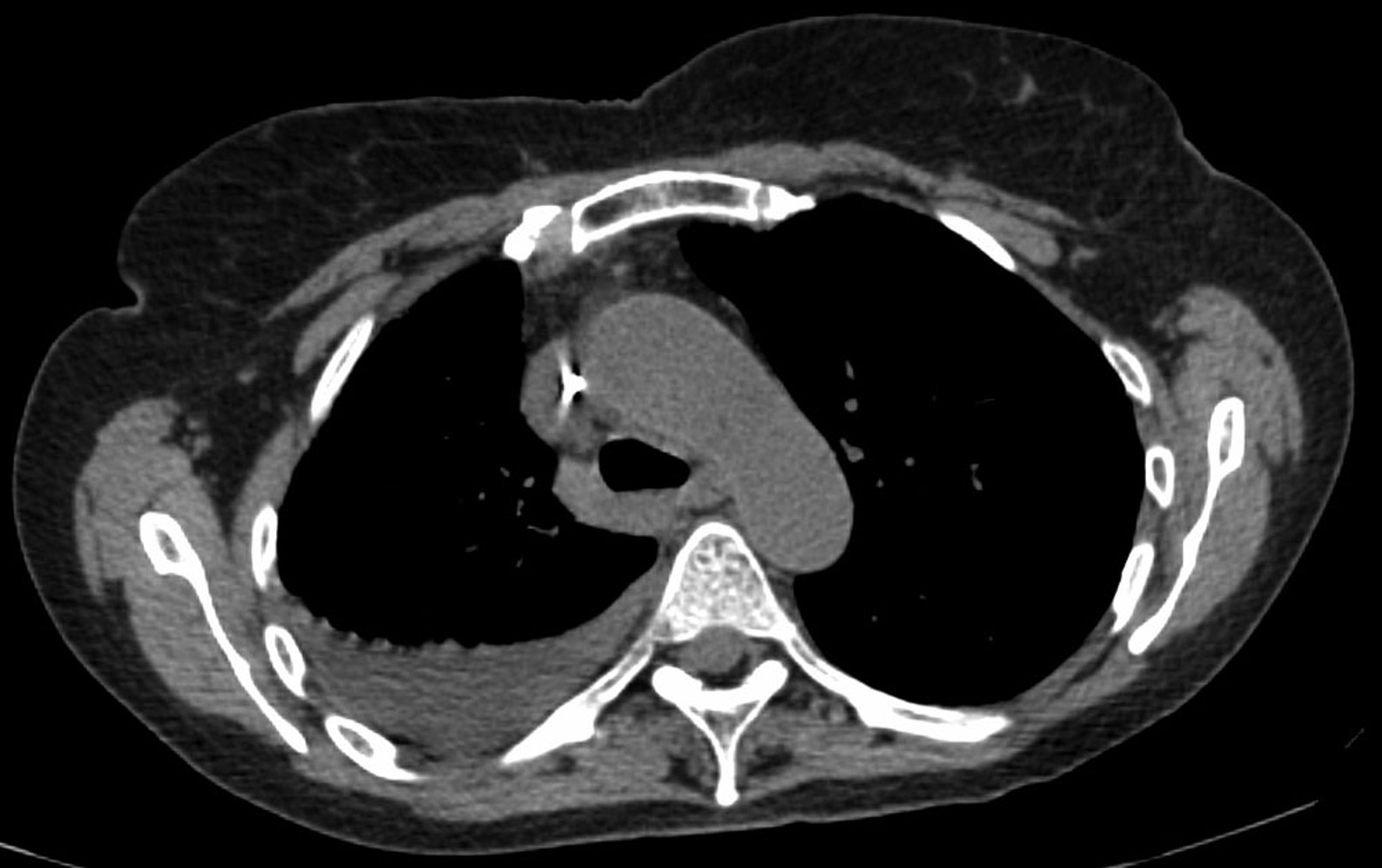
右侧胸腔积液(CT扫描)
/
右侧胸腔积液(CT扫描)
这张胸部轴位非增强CT图像显示乳腺癌女性患者右侧中小量胸腔积液。(纵隔CT扫描窗口)
Steven Needell/SCIENCE PHOTO LIBRARY
在这些主题中
胸腔积液
>