honeypot link
skip to main content
專業的
消费者
默沙东 诊疗手册
医学专业人士版
医学主题
资源
测验
关于
医学主题
资源
<
图片
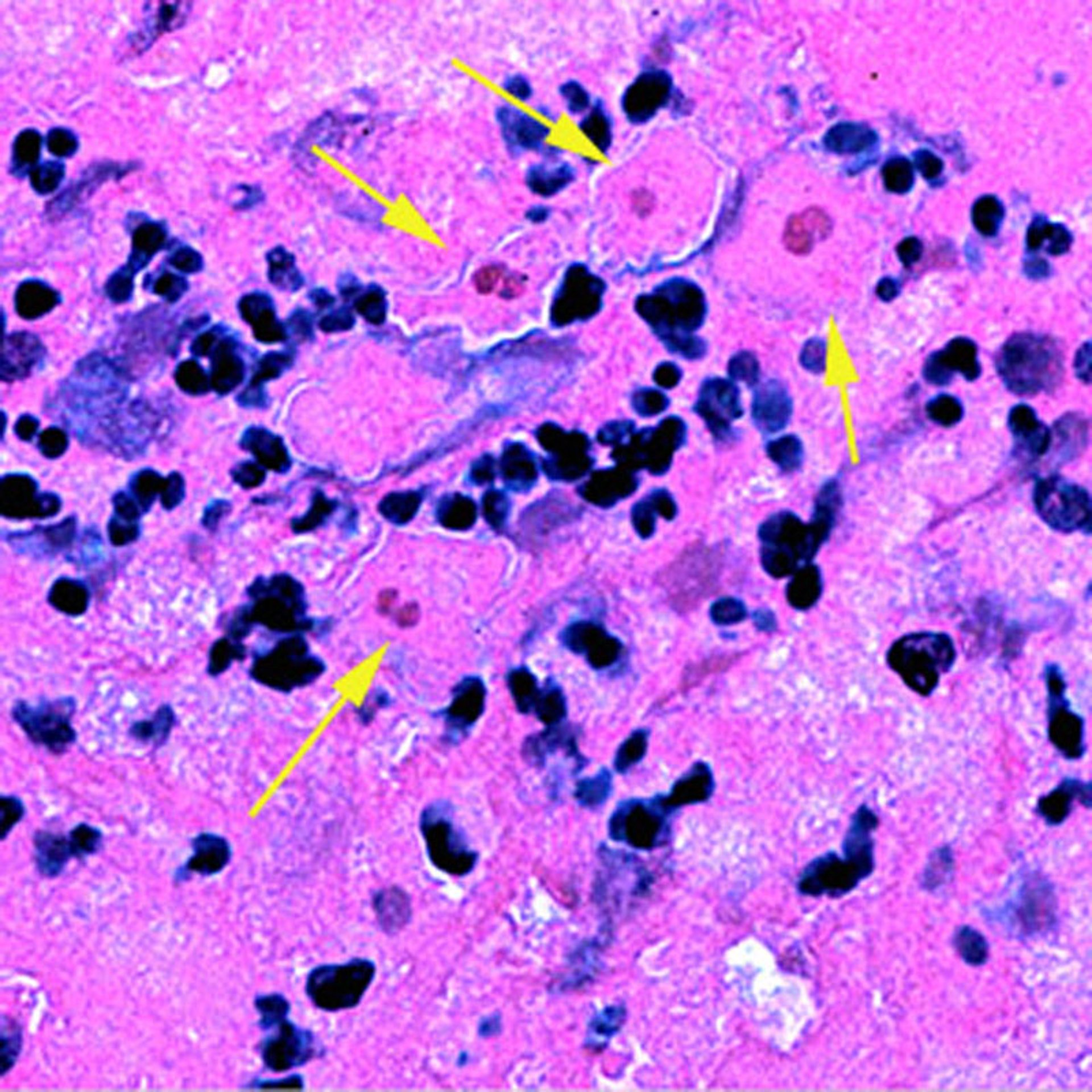
异养型叶足虫
脑组织滋养体
该图像显示了用苏木精和伊红染色的脑组织中
异养型叶足虫
的4个滋养体(箭头)。在3个阿米巴原虫中,可以很容易地看到双核。
CDC/DPDx
在这些主题中
肉芽肿性阿米巴脑炎
>