honeypot link
skip to main content
專業的
消费者
默沙东 诊疗手册
医学专业人士版
医学主题
资源
测验
关于
医学主题
资源
<
图片
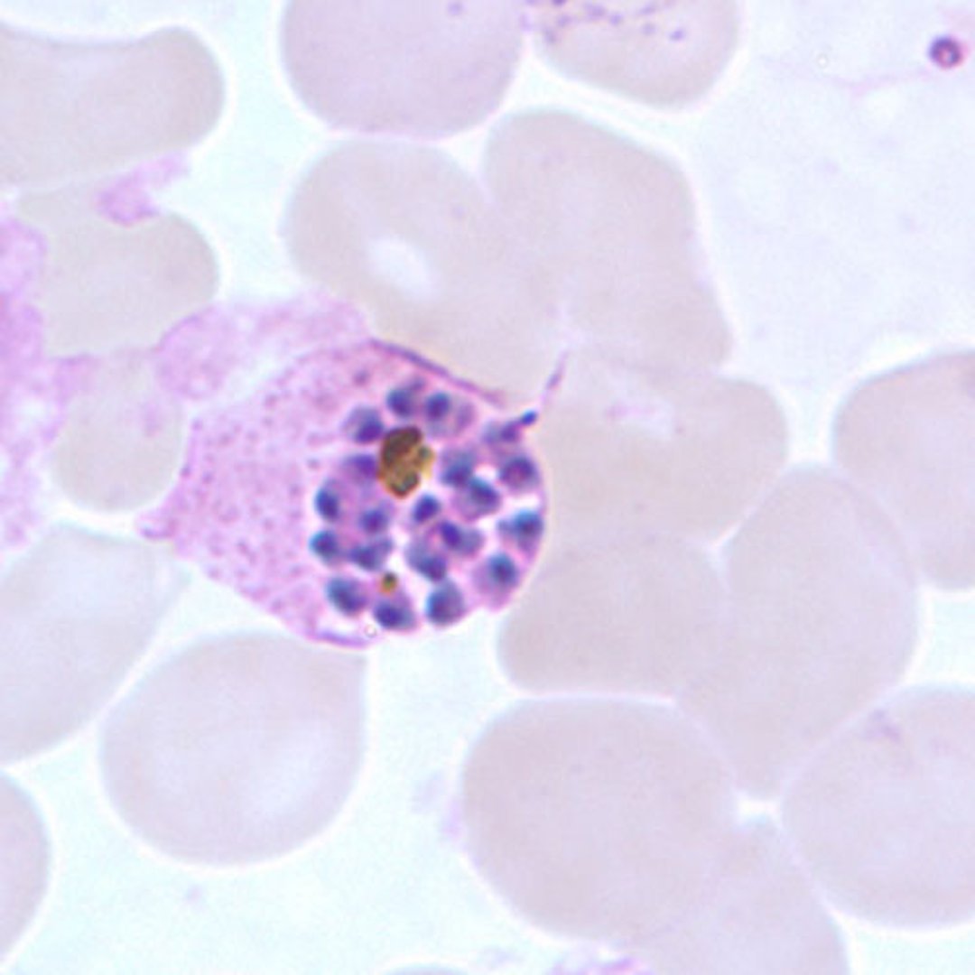
卵形疟原虫
的裂殖体
这张图片显示了薄血涂片中
卵形疟原虫
的裂殖体。
CDC/DPDx
在这些主题中
疟疾
>