honeypot link
skip to main content
專業的
消费者
默沙东 诊疗手册
医学专业人士版
医学主题
资源
测验
关于
医学主题
资源
<
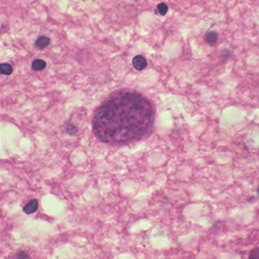
图片
Toxoplasma gondii
(刚地弓形虫)脑组织包囊
这张图片显示了用苏木精和伊红染色的大脑组织中的
T. gondii
(弓形虫)包囊。
CDC/DPDx
在这些主题中
弓形虫病
>