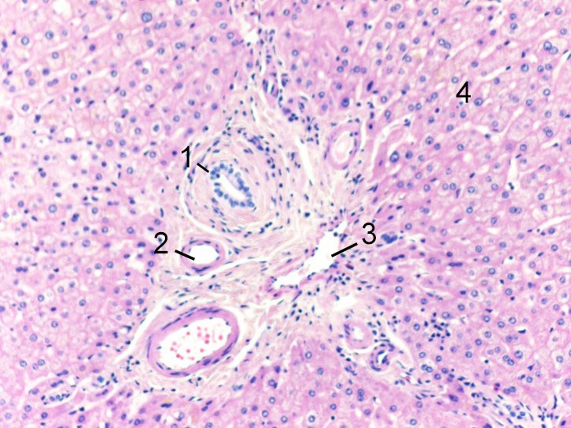
正常门管三联体

正常门管三联体

1=胆管分支;2=肝动脉分支;3=门静脉分支;4=肝细胞。

Image courtesy of Danielle Tholey, MD, and M.Isabel Fiel, MD, MS, FAASLD.