肺水肿是严重的急性左心室衰竭伴有肺静脉高压和肺泡液体渗出。表现为严重呼吸困难,大汗淋漓,喘鸣,有时伴有血性泡沫痰。诊断主要根据临床和胸部X线检查。治疗包括吸氧、静脉使用硝酸盐、利尿剂,在心衰患者和HFrEF患者中,有时会静脉注射短效正性肌力药物和机械辅助通气(如,机械通气或双水平气道正压通气气管插管)。
(参阅 心力衰竭)
如果左室充盈压突然升高,血浆液体可以很快从肺毛细血管渗出到肺间质和肺泡,引起肺水肿。尽管因年龄和国家的不同导致发病原因的不同,但大约有一半的患者是因为急性冠脉缺血所致;部分是因为原有心衰(HF)严重的失代偿所致,包括因为高血压所引起的射血分数保留的心力衰竭(HFpEF);其余的多起因于心律失常、急性瓣膜病或因静脉补液引起的急性容量负荷过多等。药物和饮食不当也常是诱因。
肺水肿的症状和体征
肺水肿患者表现为极度呼吸困难、躁动和焦虑,伴有窒息感。咳嗽带轻微血痰、苍白、发绀、大汗淋漓也很常见;部分患者口吐白沫。明显的咯血不常见。脉搏细速,血压波动较大。血压升高者表明心脏储备尚有;收缩压 <100mmHg则预后不良。吸气期捻发音可在两侧肺野的前后面均可听到。可听到明显的哮鸣音(心源性哮喘)。呼吸时杂乱的声音常造成心脏听诊的困难;重叠型奔马律——S3和S4——可以听到。 可能有右心衰的体征(如颈静脉怒张、周围水肿)。
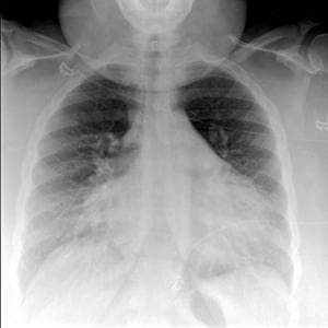
肺水肿的诊断
临床评估显示严重呼吸困难和肺爆破音
胸部X线检查
有时血清脑钠肽(BNP)或NT-proBNP
ECG,心脏标记物,和必要时其他的病原学检查
COPD(慢性阻塞性肺疾病)的恶化 类似左心衰引起的肺水肿,或 肺源性心脏病 所引起的双室衰竭。肺水肿可能是既往没有心脏病史的患者的表现症状,但有严重症状的COPD患者有已知COPD既往史,尽管其呼吸困难可能太严重,以至不能与肺水肿联系起来。
© 2017 Elliot K.Fishman, MD.
胸部X线片,必须立即做,具有较高的诊断价值,可见明显肺间质水肿。床旁测定血清BNP/NT-proBNP水平对鉴别诊断有帮助(肺水肿BNP升高,COPD加重的患者BNP正常)。
应查ECG,脉搏血氧测定,血生化检查(心脏标志物、电解质、血尿素氮、肌酐,严重者测动脉血气)。
超声心动图可以帮助区别引起肺水肿的病因(如, 心梗 、瓣膜功能不全、高血压性心脏病及 扩张型心肌病 ),并影响治疗选择。
可伴有严重的低氧血症。 二氧化碳潴留是继发性低通气的晚期预兆。
肺水肿的治疗
病因治疗
氧疗
静脉利尿剂
硝酸盐
静脉正性肌力药物
机械通气
肺水肿的初始治疗包括查明病因;非换气面罩给予100%纯氧;采取坐位;呋塞米0.5~1.0mg/kg静推或5~10mg/h持续泵入;硝酸甘油0.4mg每5分钟舌下含服,随后静滴10~20mcg/分钟,当收缩压>100mmHg时,可每5分钟上调10mcg/分钟,必要时最大可达300cg/分钟。吗啡1~5mg静推1~2次,长期以来用于降低严重焦虑和呼吸加速,但观察性研究发现其与预后不良相关,所以现在逐渐用得少了(姑息治疗除外),因为双水平正压无创通气(BiPAP)在严重低氧血症患者中效果明显。 双侧正压无创通气(BiPAP)辅助通气对于严重低氧血症的患者效果明显。如果存在二氧化碳滞留或患者反应迟钝则需用 气管插管 辅助通气 。
其他特殊治疗要根据病因:
对急性心梗或急性冠脉综合征患者,给以溶栓或经皮冠状动脉成形术,必要时植入支架
严重高血压,给于血管扩张药
对室上性或室性心动过速给于直流电复律
对于快心室率房颤,心脏复律是首选。 静脉用beta阻滞剂,静脉用地高辛,或谨慎使用钙通道阻滞剂可降低心室率。
急性心肌梗死患者肺水肿发作前,通常机体并没有液体潴留,因此利尿剂的效果不如慢性心衰急性失代偿患者,并可能诱发低血压。如果收缩压<100mmHg或发生休克,可能要静脉给予多巴酚丁胺和主动脉内球囊反搏术。
一些较新的药物,如静脉用脑钠肽(奈西立肽)和钙离子增敏剂(左西孟旦、匹莫苯旦)、维司力农和依波帕胺,可能具有早期改善症状的作用,但与标准治疗相比并不能改善预后,甚至可能增加死亡率。Serelaxin 是人类妊娠激素松弛素 2 的重组形式,已进行过尝试,但一项大型国际随机研究并未显示其益处(1)。myosin激活剂是一种口服心脏肌球蛋白激活剂,已经证明可以降低目前或最近因失代偿性心力衰竭住院的患者的发病率和死亡率(2)。
一旦患者稳定,就应启动长期 心衰治疗 。
治疗参考文献
1.Metra M, Teerlink JR, Cotter G, et al: Effects of serelaxin in patients with acute heart failure. N Engl J Med 381(8):716-726, 2019.doi:10.1056/NEJMoa1801291
2.Teerlink JR, Diaz R, Felker GM, et al: Cardiac myosin activation with omecamtiv mecarbil in systolic heart failure. N Engl J Med 384(2):105-116, 2021.doi:10.1056/NEJMoa2025797
关键点
急性肺水肿可能源于急性冠脉缺血、潜在心衰失代偿、心律失常、急性瓣膜疾病或急性容量负荷超载。
患者常出现严重呼吸困难,大汗淋漓,喘鸣,有时伴有血性泡沫痰。
临床评估和胸部X光通常就足以诊断;心电图,心肌标志物,超声心动图检查用于确定病因。
病因治疗并予以吸氧和静推速尿,和/或必要时使用硝酸盐;早期使用无创辅助通气,但必要时使用气管插管和辅助呼吸。
